נחירות ודום נשימה בשינה

Snoring & obstructive sleep apnea - OSA

כאבי פנים והפרעות במפרקי הלסת

Orofacial pain & Temporomandibulat Disorders - TMD

סד לילה
Occlusal Splint

סד לילה (סד סגרי) מהווה את אחד מאמצעי הטיפול הנפוצים ביותר בכאב והפרעות תיפקודיות במערכת הלעיסה (Temporomandibular Disorders -TMD) וברוקסיזם. השימוש בו מדווח לראשונה כבר ב- 1901 על ידי Karolyi כאמצעי טיפול בברוקסיזם.
סד לילה משולב כאחד מאמצעי הטיפולי במסגרת תחומים אחרים של רפואת שיניים דוגמת אורתודונטיה, הלבנת שיניים, שיקום הפה ופריודונטיה (מחלות חניכיים).
הסד הסגרי מוצע כטיפול גם במסגרת הרפואה הכללית בכאבי ראש כולל מיגרנות, בהפרעות תנועה שונות בשינה, כאמצעי הגנה על השיניים והרקמות הרכות במצבים פתולוגיים שונים וכהגנה על השיניים בספורט.

האפקט הטיפולי: של סד לילה כטיפול בודד או כמרכיב בטיפול בכאב פנים נבדק לאורך השנים ואושש במחקרים רבים. נמצא כי 70-90% מהמשתמשים בסד מדווחים על ירידה משמעותית בכאב ושיפור במצבם הקליני.

סוגי סדים: קיימים סוגים שונים של סדים סגריים הנבדלים בחומר ממנו הוכנו (אקריל קשה לעומת חומר סיליקוני רך), צורת ההכנה (הכנה על ידי מעבדה והתאמה קפדנית בפה על ידי הרופא לעומת סדים העשויים מחומר טרמופלסטי ומותאמים למתרפא לאחר חימומם ללא איזון סגרי), מידת כיסוי (כל השיניים או רק חלק מהם) והעמדה הסגרית בה מותאם הסד: עמדת הסגירה האנטומית
של הלסתות (Centric Relation) לעומת עמדה טיפולית קדמית (Anterior therapeutic position).

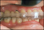
סד לילה מייצב עליון

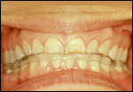
סד מייצב תחתון

בכל מקרה ומקרה יש להתאים את סוג הסד לאבחנה ולמצב הדנטלי של המטופל. במהלך השימוש בסד יש לעיתים צורך לבצע בו שינויים בהתאם למצב הקליני של המטופל.
השימוש בסד דורש תקופה קצרה של היסתגלות . לעיתים יש צורך בהתאמה נוספת של הסד במהלך תקופה זו. יש לחזור לביקורת תקופתית במהלך הטיפול.

סד רך

סד רך לשיניים
סד דנטלי רך

סד חלקי מסוג NTI