נחירות ודום נשימה בשינה

Snoring & obstructive sleep apnea - OSA

כאבי פנים והפרעות במפרקי הלסת

Orofacial pain & Temporomandibulat Disorders - TMD

שחיקת שיניים בשינה ברוקסיזם לילי
Sleep Bruxism

ברוקסיזם לילי (Sleep Bruxism) הינה תופעה המוגדרת על ידי האקדמיה האמריקאית להפרעות שינה (ASDA) כהפרעת תנועה סטריאוטיפית המאופיינת בחריקה ו/או הידוק של השיניים במהלך השינה. הברוקסיזם הלילי נחשב כפאראפונקציה נפוצה במערכת הלעיסה.

שכיחות התופעה על פי סקרים שונים נעה מ- 20% בקרב ילדים, ל-10% במבוגרים. על פי רישומי שינה במעבדת שינה נמצא כי שחיקת השיניים מופיעה באירועים קצרים בני מספר שניות, המופיעים בדר"כ בסמוך למיקרו-היתעורוריות. מס. האירועים יכול להגיע עד למאה ויותר אירועים לשעה. לעיתים אירועי השחיקה כוללים גם הפקה של רעש חריקה אופיני אם כי לא תמיד.

הגורם לברוקסיזם לילי אינו ידוע. בעבר היה מקובל לחשוב כי חוסר התאמה של שיניים בסגירה(הפרעות סגר) הן המקור לבעיה. היום מקובל לחשוב כי מקור הבעיה הינו במערך השינה. התופעה מוגדרת כפאראסומניה ונחשבת הפרעת תנועה בשינה בדומה ל"זריקת רגלים" (Restless leg syndrome), ו"טיקים" בשינה.
בין הגורמים המחמירים את הברוקסיזם מוזכרים מתח (stress), אלכוהול, מחלות פסיכיאטריות ונוירולוגיות ומאפייני אישיות.
שחיקת שיניים מתוארת גם כתופעת לוואי של תרופות שונות דוגמת תרופות למחלת פרקינסון ותרופות נוגדות דיכאון מקבוצת ה- (PROZAC,CIPRAMIL,SEROXAT) SSRI.

תופעת הברוקסיזם עלולה לגרום לנזקים לכל אחד ממרכיבי מערכת הלעיסה:
 שחיקה מסיבית של השיניים עד לרמת מוך השן, ופגיעה אסטטית חמורה
 שברים בשיניים, בכתרים, גשרים או שתלים
 החמרת מחלת חניכיים, ונסיגת חניכיים
 כאב והפרעות תיפקודיות בשרירי הלעיסה ובמפרקי הלסת, כאבי פנים, אוזניים וראש

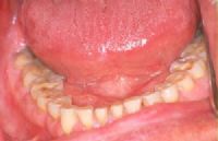
שחיקת שיניים
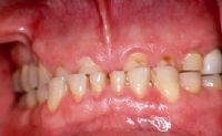
שחיקת שיניים

אבחון קליני של ברוקסיזם

אבחון קליני של ברוקסיזם נעשה על סמך צרוף של ממצאים סובייקטיביים- על פי דיווח המטופל ואובייקטיביים – בבדיקת הרופא. הדיווחים הסובייקטיביים כוללים דיווח של בן משפחה אודות קולות חריקת שיניים בלילה ושל המתרפא עצמו, אודות תחושה של כאב, קשיון או עייפות בשרירי הלעיסה עם היקיצה מהשינה. הסימנים בבדיקה כוללים: שרירי לעיסה מעובים ומפותחים בצידי הפנים , סימני שחיקה על השיניים וסימנים אופניים ברקמות הלחי ובלשון.

תהליך האיבחון כולל התייחסות לגורמים אחרים הקשורים לנזק לשיניים ואובדן חומר שן. הנפוץ ביותר מביניהם הינו פגיעה חומצית מצריכה מוגברת של מאכלים ומשקאות חומציים דוגמת שתיה מרובה של קולה, פרות הדר – במיוחד לימון , או מנוכחות חומצה בחלל הפה בשל הפרעות במערכת העיכול דוגמת "רפלוקס" המתבטא בצרבת.

מדידה אובייקטיבית של ברוקסיזם בשינה מתבצעת על ידי רישום הפעילות החשמלית של שרירי הלעיסה במהלך השינה (EMG ) במסגרת בדיקת שינה (פוליסומנוגרפיה), המבוצעת בד"כ במעבדת שינה. כלי זה מהווה "Gold standard" לאבחון ברוקסיזם לילי אך ישים לצורך מחקר בלבד.

הטיפול

הטיפול כולל שימוש בסד סגרי לצורך הגנה על המשנן ומתוך מחשבה כי השימוש בסד מביא לירידה בפעילות הברוקסיסטית בשינה.

טיפול נוסף יכול להתבצע ע"י הזרקת בוטוקס לשרירי הלעיסה – טיפול זה מיועד להחליש את הכוח המופעל על ידי שרירי הלעיסה בעת הידוק שיניים ביום ובאופן בלתי רצוני בעת שחיקת השיניים בשינה. ההזרקה מביאה לירידה בתחושת המתח והנוקשות בשרירים אלו  כמו גם לעיתים לשפור בכאבי הפנים. למידע נוסף

כמו כן מומלץ שימוש בהיפנורלקסציה שהינה למעשה הרפיה עצמית המותאמת להורדת מתח ולהקטנה בפעילות הברוקסיסטית.